Implantología Oral

Los Implantes Dentales son la terapia más avanzada para el reemplazo de piezas dentales perdidas. Las restauraciones basadas en implantes generalmente parecen, se sienten y actúan como un diente natural.

Los implantes dentales pueden ofrecerle grandes ventajas comparados con otros tratamientos dentales, mejoran la masticación, la estética, y por lo tanto, la salud en general, es por eso que la autoestima y la calidad de vida, se ven mejoradas notablemente al final del tratamiento. Si usted perdió una pieza dental o varias, le recomendamos considerar el tratamiento de rehabilitación oral, mediante implantes dentales.

Implantologia

Los implantes dentales son piezas hechas de titanio grado 5 que imitan en su forma y tamaño a las raíces de los dientes naturales. Se colocan directamente en el hueso donde se integran a éste y permiten, que se les adapte sobre él una corona dental o en otras ocasiones pilares para soportar puentes fijos o removibles dependiendo del caso. A pesar de que la implantología moderna se practica desde los años sesentas, es en la última década, en donde se ha vuelto más común, debido a que cada vez los resultados son más predecibles y los beneficios (comparados con las diferentes opciones de rehabilitación) son mucho mayores.

Un implante puede ser usado para reponer casi cualquier diente que tenga suficiente hueso en el sitio a tratar. Si el hueso no es suficiente, usualmente se puede regenerar mediante modernos procedimientos de regeneración ósea guiada y así poder colocar el implante de manera segura y confiable.

Implante en hueso

El implante es insertado en el hueso por debajo de la encía, después de un tiempo determinado, según el plan de tratamiento, un poste es unido al implante, éste servirá de soporte de la corona dental hecha a la medida por un laboratorio especializado, tendrá el tamaño, la forma y el color adecuado para que se vea y funcione como un diente natural.

Partes del Implante

De esta forma el diente perdido ha sido remplazado SIN desgastar a los dientes vecinos además de estar evitando así la pérdida de hueso en sito.

Implante Erroneo


Perder uno o más dientes desencadena una serie de eventos que tienen consecuencias tanto físicas como cosméticas. Lo más obvio es un espacio negro en la sonrisa, menos evidente pero igualmente importante es la pérdida de la función masticatoria y la inhabilidad para comer ciertos alimentos.

Estos son por sí mismos, problemas serios. Pero un potencial problema aún mayor se esconde bajo la superficie. Sin el diente trabajando para estimular a la mandíbula, el hueso empieza a desaparecer y de la misma forma, el músculo se hace más pequeño. Los dientes y el hueso facial soportan a la cara, los cuales al disminuirse, cambian la fisonomía facial, haciendo que se vea prematuramente de más edad. La buena noticia, es que los Implantes Dentales, ofrecen la solución para ayudar a prevenir la pérdida de hueso.

Deformidad en rostro

Se puede colocar desde un solo implante, hasta los que sean necesarios para rehabilitar a un paciente totalmente desdentado.

Existe una gran variedad de opciones para tratar los diferentes problemas ocasionados por la pérdida de los dientes, desde soluciones removibles, que pueden ser más económicas y ofrecen buenos resultados, hasta puentes fijos totales completos sobre implantes, que es lo más parecido a tener dientes nuevamente. Pero la finalidad siempre es la misma, devolver la capacidad de masticación y la apariencia natural a cada uno de nuestros pacientes.

Empresas especialistas

Actualmente contamos con una gran cantidad de empresas dedicadas a la investigación, desarrollo y venta de todos los productos relacionados con la Implantología Oral. En nuestra práctica incorporamos solo las mejores marcas tomando en cuenta su trayectoria y las bases cientificas de sus productos. Es por eso que nos sentimos seguros de ofrecer a nuestros pacientes tratamientos con el respaldo de empresas líderes a nivel mundial en el ramo médico-odontológico.Contáctenos para aclarar sus dudas sobre estos o cualquier otro tratamiento, trataremos de responder lo más prónto posible.

 

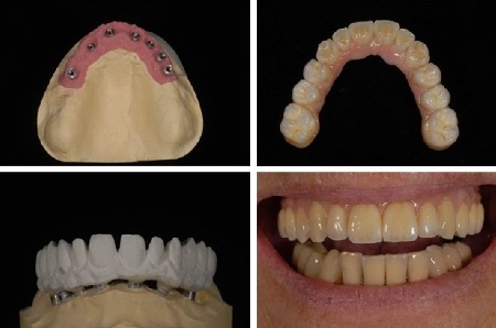
Galería de Fotos

Corona unitaria sobre implante en diente central

Corona unitaria sobre implante en premolar

Prótesis removible sobre implantes

Prótesis fija sobre implantes en Metal / Porcelana

Prótesis fija sobre implantes de Zirconia / Porcelana